Smile Gallery
We were not all born with perfectly straight, white smiles.
If you have a smile you are self-conscious about showing, this can have a negative impact on your overall well-being. Even those around you can be affected!
Cosmetic dentistry is a unique blend of artistry and science, and at Harlow Dental at Steele Creek and Uptown Charlotte, Dr. H. Justin Harlow uses it to make so-so smiles into something spectacular. See for yourself by looking through the pictures in our smile gallery of actual Harlow Dental patients. Then talk to us about your own transformation!
Often, it is easy to give you the smile you want in as little as two visits. In this case, a 62-year-old man did not the uneven look of his teeth. He also disliked the discoloration and "open triangle" between his front two teeth. I recommended veneers as a minimally invasive option to straighten, whiten and cosmetically deliver a brand new smile. With just two visits, a new smile can be yours too!


You can change your whole smile with jut two appointments. This patient was concerned about generalized gum recession and discoloration around the gum lines. She also did not like her darker and yellow tint to her teeth. Ultimately, the patient wanted a new aesthetic look that would be minimally invasive. Dr. Harlow and his team advised that veneers were an option. After seeing a mock-up of what final veneer would look like, just two appointments allowed this patient to smile again and get a straighter, whiter smile


Often, patients are told they need a deep cleaning due to mild or severe gum disease. If it has been a while since you've seen a dentist, then it is likely that you have more build-up than normal. Scaling and root planing is a procedure that allows dental hygienists to debride and clean teeth under the gums and around the bone level. The procedure is done under local anesthesia and will allow your gums to heal back to their normal positions and reduce inflammation and future bone loss. In this case, the patient had not seen a dentist in 7 ...


This patient had an old amalgam (metal) filling that broke down and deteriorated. This is very common. When this happens, sometimes a new composite (white) filling can be placed. Depending on the size of the fracture, a full-coverage crown may be needed. An all-porcelain crown was made here in order to restore this tooth to full function.


Every dentist’s top priority is the health of their patients’ teeth, gums, jawbone, and other maxillofacial structures. This, of course, includes, cosmetic dentists, a significant part of whose job involves the maintenance and restoration of the form, function, and alignment of patients’ teeth, gums, and bites.
It is worth noting, however, that cosmetic dentistry does also include elevating every patient's smile to the peak of its potential. A significant element in achieving this is maximizing the brightness and whiteness of the teeth making up each smile. Fortunately, for this we've got ZOOM!
ZOOM! Whitening is an incredibly fast, safe, and effective in-office ...




45-year-old patient was very concerned about her front teeth. She wanted less flat, worn teeth, and less sharp edges. She has a history of stress-related- grinding of her teeth. Dr. Harlow fabricated a mock-up/wax-up model of this patient’s mouth to give the patient a sense of what final crowns could look like even before doing any work. With just two appointments, Dr. Harlow was able to get a very natural, white, transparent new smile for this patient.
Often, it is easy to give you the smile you want in as little as two visits. In this case, a 31-year-old woman was getting married in one month. She did not like the "gaps" between her teeth and did not like how her front teeth "stuck out." She also did not like her smaller lateral incisors (next to the middle teeth). She wanted to go into her new life as a married woman with the smile every bride deserves. I recommended veneers as a minimally invasive option to straighten, whiten and cosmetically deliver a brand new smile. With ...
ZOOM! Whitening is the fastest and safest way to whiten your teeth. We've all tried whitening strips or over the counter remedies and just did not get the results we were looking for. The ZOOM! process, is offered in-office, with results in one hour! With prescription strength whitening gel and UV-light activated technology, you'll get the white smile that you've always wanted in one session. Our office also offers free take-home whitening trays as a part of our package. Call today to ask about our ZOOM! offerings.
This patient improved their smile with cosmetic crowns. Learn more about our cosmetic dental options by giving us a call!
This patient utilized cosmetic crowns for a smile makeover! We offer a number of cosmetic services and procedures to fit your needs.
This patient's dental implant blends seamlessly and perfectly with the rest of their smile.


This 30-year-old financial services employee had a retained baby tooth that never fell out. This baby tooth started to turn a brown color over time and created a very unsightly discolored front tooth. The patient presented to Dr. Harlow for options. Dr. Harlow recommended extraction of the baby tooth and a conservative bridge restoration to cover the new gap. Three appointments (1. extraction and temporary bridge, 2. Final bridge impression, 3. Bridge delivery) changed this young woman’s smile.
Modern partial dentures perfectly match the original element of a person's smile, creating a beautiful and seamless complete appearance. This patient's result speaks for itself!
Dental bridges can make a dramatically beautiful difference in one's smile.
Did you know bridges can assist in tooth replacement? We will let this patient result speak for itself.
Cosmetic crowns can improve a number of aesthetic issues in your smile. Book a consultation with us to learn more about your cosmetic dental options.


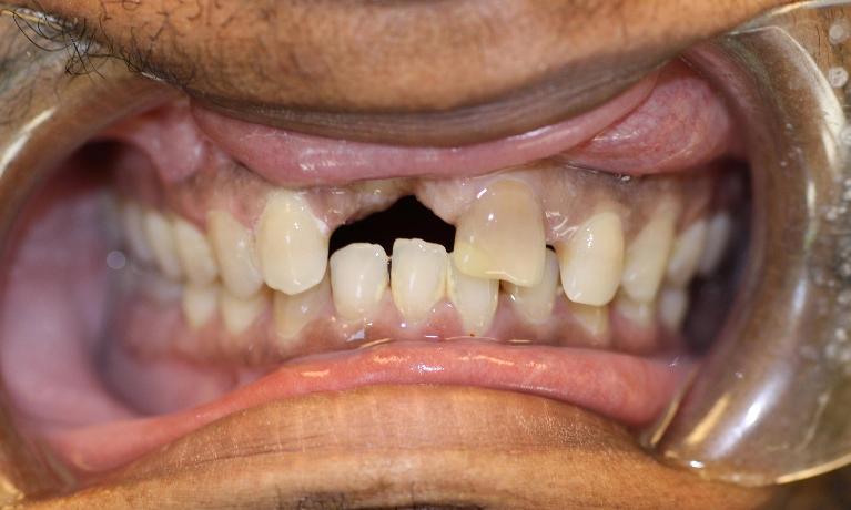
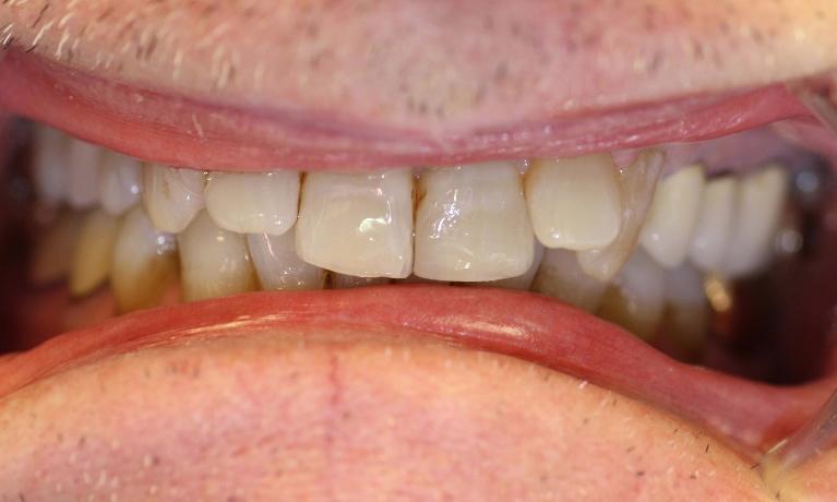
Patient had failing 4 front teeth due to bone loss. As you can see, the teeth were spreading apart and hyper-erupting (coming out of the socket). After months of periodontal therapy to get the gums and bone support back to a healthy environment, this patient was desiring a new smile. While the patient was not a candidate for implants due to bone loss, Dr. Harlow recommended a partial denture (removable appliance) or a fixed bridge with extraction of the failing teeth. The patient wanted a fixed option and the bridgework began. With three appointments (1. Four Extractions and temporary bridge ...


Sometimes teeth can’t be saved. While bridges or implants can be expensive, removable full or partial dentures can be an affordable option to replace teeth. In many instances, with a proper treatment plan, it is even possible to never go without teeth. In this case, the patient only had 6 remaining top teeth that were not strong enough to anchor a new partial denture. Dr. Harlow recommended extraction with an immediate denture for a new instant smile. Also, on the bottom jaw, the front teeth were loose and needed extraction. An immediate partial denture was made to replace those. The ...


Often, patients may have stain or decay on a tooth that can be fixed with a conservative procedure called bonding. No veneer or crown is needed, rather a simple composite bonding procedure will allow for a natural shade matching and restoring or full function of the tooth. Here, decay is present on a lateral incisor. With one visit, a little anesthetic, Dr. Harlow was able to rebuild this tooth to it's natural, matching ideal anatomy with detailed shape and color.
I’ve followed Dr. Harlow to every practice he’s worked in since he finished dental school. Now that he has his own practice, I’ll be a lifetime patient at his Steele Creek location. – Chevon B.