Harlow Dental Family & Cosmetic Dentistry
A Great Dentist

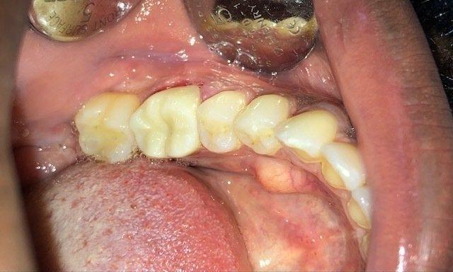
Patient with old broken filling.

This patient had an old amalgam (metal) filling that broke down and deteriorated. This is very common. When this happens, sometimes a new composite (white) filling can be placed. Depending on the size of the fracture, a full-coverage crown may be needed. An all-porcelain crown was made here in order to restore this tooth to full function. 

Service Available At:

Harlow Dental at Steele Creek
Lifetime Patient

I’ve followed Dr. Harlow to every practice he’s worked in since he finished dental school. Now that he has his own practice, I’ll be a lifetime patient at his Steele Creek location. – Chevon B.

Ready to book an appointment?
If you have difficulty using our website, please email us or call us at (704) 588-1515
View the ADA Accessibility Statement