Harlow Dental Family & Cosmetic Dentistry
A Great Dentist

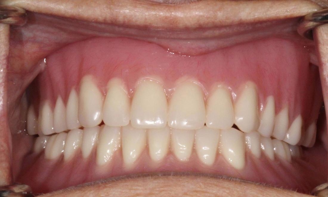
Dentures in Charlotte, NC

This patient utilized dentures to create a perfectly aligned, bright, beautiful smile.

Related Services:

Dentures & Partials

Service Available At:

Harlow Dental at Steele Creek
Lifetime Patient

I’ve followed Dr. Harlow to every practice he’s worked in since he finished dental school. Now that he has his own practice, I’ll be a lifetime patient at his Steele Creek location. – Chevon B.

Ready to book an appointment?
If you have difficulty using our website, please email us or call us at (704) 588-1515
View the ADA Accessibility Statement